Preview

Ветеринарная патология

Расширенный поиск

Трихинеллез у барсука в Ростовской области (юг России)

https://doi.org/10.23947/2949-4826-2025-24-3-7-13

Содержание

Перейти к:

Аннотация

Введение. Нематоды рода Trichinella — возбудители трихинеллеза, поражающего людей и животных и наносящего значительный экономический ущерб сельскому хозяйству и пищевой промышленности, особенно в сфере безопасности продуктов питания. В настоящее время род Trichinella включает 10 видов и 3 генотипа, которые разделяются на 2 клады: капсулообразующие и бескапсульные. Циркуляция трихинелл в дикой природе происходит при участии обширного круга животных-трихинеллоносителей, и барсук является одним из основных природных резервуаров заболевания. В статье приводятся сведения о первом случае обнаружения личинок трихинелл у барсука в Ростовской области.
Материалы и методы. Объектом исследования послужила туша барсука, добытая охотниками в Шолоховском районе Ростовской области в августе 2024 г. Выявление и изучение личинок и капсул в образцах проводили методом компрессорной трихинеллоскопии. В дальнейшем из отдельных мышц были изготовлены гистологические срезы, которые окрашивались гематоксилином и эозином по стандартной методике.
Результаты исследования. Капсулы трихинелл были обнаружены во всех исследованных мышцах животного. Наибольшее их количество найдено в диафрагме и ее ножках. Обнаруженные личинки относились к инкапсулирующим и располагались в капсулах группами или по одной. На гистологических срезах капсулы имели толстые коллагеновые стенки, окруженные снаружи тонкими соединительнотканными оболочками. Результаты морфометрии капсул показали, что они не отличаются по размерам в зависимости от локализации в теле барсука, форма капсул во всех мышцах была почти круглой.
Обсуждение и заключение. Индексы формы капсул, рассчитанные по результатам морфометрии, более близки к соответствующим показателям T. nativa, чем T. spiralis, однако это не позволяет делать точные выводы относительно видовой принадлежности трихинелл, поскольку для точной диагностики необходимы молекулярно-генетические исследования или использование вестерн-блота. Таким образом, изучение распространения и видового состава трихинелл по-прежнему остается крайне актуальной задачей, требующей дальнейших исследований как в нашем регионе, так и по всему миру.

Для цитирования:


Евсюков А.П., Потапенко И.О., Зеленков А.П., Зеленкова Г.А. Трихинеллез у барсука в Ростовской области (юг России). Ветеринарная патология. 2025;24(3):7-13. https://doi.org/10.23947/2949-4826-2025-24-3-7-13

For citation:


Evsyukov A.P., Potapenko I.O., Zelenkov A.P., Zelenkova G.A. Trichinellosis in Badgers in the Rostov Region (Southern Russia). Russian Journal of Veterinary Pathology. 2025;24(3):7-13. https://doi.org/10.23947/2949-4826-2025-24-3-7-13

Введение. Нематоды рода Trichinella, относящегося к семейству Trichinellidae, являются возбудителями трихинеллеза — кишечного и тканевого гельминтоза, представляющего собой одну из наиболее серьезных и распространенных угроз для здоровья человека среди зоонозных инфекций [1]. У человека данное заболевание зарегистрировано в 55 странах мира [2]. Помимо негативного воздействия на общественное здоровье, трихинеллез наносит значительный экономический ущерб сельскому хозяйству и пищевой промышленности, особенно в сфере безопасности продуктов питания.

Трихинеллы имеют простой и при этом уникальный жизненный цикл. Энтеральная фаза начинается с момента употребления мяса, содержащего тканевые капсулы. Личинки высвобождаются из капсул под действием желудочного сока и в течение нескольких часов мигрируют в тонкий кишечник, где внедряются в столбчатый эпителий. Там они проходят 4 линьки до взрослой стадии и начинают спариваться через 30 часов после заражения. На 4-й день новорожденные личинки мигрируют через кровеносную систему к поперечнополосатой мускулатуре и проникают в мышечные клетки. Здесь капсулообразующие виды формируют коллагеновые капсулы и развиваются в инвазионную форму через
15–20 дней [3]. Личинки бескапсульных видов, вероятно, могут перемещаться между слоями мышц [4]. Таким образом, можно выделить характерную особенность жизненного цикла трихинелл — любое животное, у которого они паразитируют, является для них и окончательным и промежуточным хозяином.

В настоящее время род Trichinella включает 10 видов и 3 генотипа, не имеющих таксономического статуса. Все известные виды и генотипы явно разделяются на 2 клады. Одна клада включает трихинелл, которые инкапсулируются в мышечных тканях хозяина и способны заражать млекопитающих. К ней относятся T. spiralis, T. nativa, T. britovi, T. murrelli, T. nelsoni, T. patagoniensis, Tchanchalensis и генотипы, обозначаемые как T6, T8 и T9. Вторая клада включает три вида трихинелл, которые не инкапсулируются: среди них один вид заражает млекопитающих и птиц (T. pseudospiralis); а два вида паразитируют на млекопитающих и рептилиях (T. papuae и T. zimbabwensis) [3, 5]. Все вышеперечисленные виды и генотипы трихинелл представляют опасность как для животных, так и для человека. В Ростовской области ранее отмечался в основном один вид — Tspiralis [например, 6]. В Краснодарском крае зарегистрированы случаи обнаружения у свиней некапсулирующего вида Tpseudospiralis [7].

Циркуляция трихинелл в дикой природе происходит при участии обширного круга животных-трихинеллоносителей, насчитывающего около 100 разнообразных видов, включая хищников и всеядных животных [8]. Барсук (Meles meles) является одним из основных природных резервуаров трихинеллеза [9]. В Ростовской области, как и в целом по стране, барсуки часто становятся главной добычей охотников. Согласно данным, опубликованным на сайте Министерства природных ресурсов и экологии в июле 2024 г.1, численность популяции барсуков в Ростовской области составляет 2556 особей, а лимит добычи — 3,91 % от численности. Это достаточно высокий уровень, однако несмотря на это происходит и браконьерская охота, в результате чего мясо животных не проверяется и, в случае употребления человеком или животными, может привести к заражению трихинеллезом.

В данной статье мы приводим сведения о первом случае нахождения личинок трихинелл у барсука в Ростовской области.

Материалы и методы. Объектом исследования послужила туша барсука, добытая охотниками на территории Вешенского производственного опытно-охотничьего участка (Шолоховский район, север Ростовской области) в августе 2024 г. Для исследования были взяты различные группы мышц: ножки диафрагмы, диафрагма, межреберные мышцы, мышцы шеи, мышцы бедра. Выявление и изучение личинок и капсул в указанных образцах проводили методом компрессорной трихинеллоскопии. В дальнейшем из отдельных мышц были изготовлены гистологические срезы, которые окрашивались гематоксилином и эозином по стандартной методике. Измерение капсул на нативных образцах и фотографирование проводилось с использованием микроскопа Levenhuk MED D45 (Levenhuk Inc., КНР) и программного обеспечения LevenhukLite. Индекс формы капсулы (V) рассчитывался как отношение длины капсулы (L) к ее диаметру (D). Данный индекс используется для оценки формы округлых объектов, в т. ч. капсул трихинелл [10, 11].

Результаты исследования. Капсулы трихинелл были обнаружены во всех исследованных мышцах животного. Наибольшее их количество найдено в диафрагме и ее ножках. Ранее отмечалось, что у барсука наиболее инвазированы мышцы головы, в частности, челюстно-подъязычная мышца [12], которые мы при подготовке данной работы не исследовали.

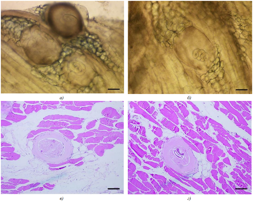
Обнаруженные нами личинки относятся к инкапсулирующим. Личинки располагаются в капсулах группами или по одной (рис. 1 а, б). Гистологические срезы показали, что капсулы имеют толстые коллагеновые стенки, окруженные снаружи тонкими соединительнотканными оболочками, сформированными организмом хозяина (рис. 1 в, г).

По полученным данным морфометрии капсул (таблица 1) можно заметить, что они практически не отличаются по размерам в зависимости от локализации в теле барсука. Форма капсул во всех мышцах была почти круглой (V≈0,79).

Таблица 1

Морфометрические показатели капсул трихинелл в различных мышцах барсука

Исследованные мышцы

Количество капсул

Диаметр капсул (D), мм

Длина капсул (L), мм

Индекс формы (V)

Ножки диафрагмы

20

0,441±0,010

0,349±0,008

0,797±0,020

Диафрагма

20

0,438±0,007

0,342±0,020

0,791±0,010

Межреберные

20

0,440±0,009

0,348±0,010

0,790±0,008

Шеи

20

0,438±0,011

0,349±0,015

0,798±0,012

Бедренные

10

0,437±0,020

0,350±0,011

0,801±0,020

Рис. 1. Капсулы трихинелл с личинками в мышцах барсука: а, б — нативный препарат;  в, г — гистологические срезы, окрашенные гематоксилином и эозином. Масштаб: 0,1 мм

Обсуждение и заключение. Индексы формы капсул, рассчитанные по результатам морфометрии, более близки к соответствующим показателям
T. nativa, чем T. spiralis [11]. Первый вид регистрировался в Центральной России, но на юге страны и на Кавказе ранее не отмечался [13]. Вероятно, южной границей этого вида является изотерма –4 °C в январе [4], что делает его обнаружение в Ростовской области маловероятным. Однако делать точные выводы относительно видовой принадлежности, обнаруженной нами у барсука трихинеллы, не представляется возможным, так как для достоверной диагностики необходимы молекулярно-генетические исследования [14] или использование метода вестерн-блота [15]. Кроме того, стоит отметить, что большая часть видов трихинелл имеет симпатрическое распространение [3]. Так, на территории Ростовской области потенциально могут быть обнаружены два инкапсулирующих вида (T. spiralis, отмечавшийся здесь ранее и распространенный во всем мире,
и T. britovi, распространенный от Пиренейского полуострова до Казахстана, Турции и Ирана [4]) и один бескапсульный — T. pseudospiralis, регистрировавшийся в Северной Америке, Евразии и Тасмании [16]. Явной привязанности разных видов трихинелл к животным-хозяевам не выявлено [17], однако отмечена различная интенсивность инвазии разными видами трихинелл при экспериментальном заражении [18]. Все это делает видовую идентификацию трихинелл крайне затруднительной.

Таким образом, изучение распространения и видового состава трихинелл по-прежнему остается крайне актуальной задачей, требующей дальнейших исследований как на Юге России, так и по всему миру. Необходимо в обязательном порядке подвергать трихинеллоскопии мясо барсуков для предотвращения возможного заражения людей. Неиспользованные туши и их остатки необходимо утилизировать для недопущения заражения домашних и диких животных.

1. Распоряжение губернатора Ростовской области от 17.07.2024 №175 «Об утверждении лимитов добычи охотничьих ресурсов на территории Ростовской области на период с 1 августа 2024 г. до 1 августа 2025 г.» URL: https://минприродыро.рф/upload/uf/5b8/n4ub6dzirqjhmt4tivn963j39r4zpdks/limity.pdf (дата обращения: 05.08.2025).

Список литературы

1. Dubinsky P, Antolova D, Reiterova K. Human Trichinella Infection Outbreaks in Slovakia, 1980–2008. Acta Parasitologica. 2016;61:205–211. https://doi.org/10.1515/ap-2016-0029

2. Pozio E. World Distribution of Trichinella Spp. Infections in Animals and Humans. Veterinary Parasitology. 2007;149(1–2):3–21. https://doi.org/10.1016/j.vetpar.2007.07.002

3. Zarlenga D, Thompsona P, Pozio E. Trichinella Species and Genotypes. Research in Veterinary Science. 2020;133:289–296. https://doi.org/10.1016/j.rvsc.2020.08.012

4. Pozio E, Zarlenga DS. Recent advances on the taxonomy, systematics and epidemiology of Trichinella. International Journal for Parasitology. 2005; 35(11–12):1191–1204. https://doi.org/10.1016/j.ijpara.2005.07.012

5. Pozio E. Trichinella and Trichinellosis in Europe. Veterinarski Glasnik. 2019;73(2):65–84. https://doi.org/10.2298/VETGL190411017P

6. Твердохлебова Т.И., Думбадзе О.С., Ермакова Л.А., Ковалев Е.В., Ненадская С.А., Гузеева Т.М. и др. Эпидемиологические аспекты трихинеллеза на юге России. В: Сборник статей научно-практической конференции «Актуальные вопросы изучения особо опасных и природно-очаговых болезней». Новосибирск: «Типография Продвижение»; 2019. С. 125–130.

7. Сапунов А.Я. Совершенствование мер борьбы с трихинеллезом в Северо-Западном регионе Кавказа. Автореферат диссертации на соискание степени доктора ветеринарных наук. Москва; 2000. 48 с.

8. Твердохлебова Т.И., Хуторянина И.В., Черникова М.П. Эпидемиологические аспекты трихинеллеза. Национальные приоритеты России. 2021;(3(42)):279–282.

9. Городович Н.М., Городович С.Н. Борьба с трихинеллезом в дикой природе: методические рекомендации. Благовещенск: Дальневосточный зональный НИВИ; 2009. 7 с.

10. Ромашов Б.В., Василенко В.В., Рогов М.В. Трихинеллез в Центральном Черноземье (Воронежская область): экология и биология трихинелл, эпизоотология, профилактика и мониторинг трихинеллеза. Воронеж: Воронежский государственный университет; 2006. 181 с.

11. Андреянов О.Н. Сравнительная морфология капсул личинок трихинелл от разных видов хозяев. Актуальные вопросы ветеринарной биологии. 2014;(2(22)):27–29.

12. Трухина Т.И., Соловьева И.А., Бондаренко Г.А., Иванов Д.А. Особенности распределения личинок трихинелл в мышцах барсуков, обитающих на территории Амурской области. Вестник НГАУ. 2019;1(50):171–176. https://doi.org/10.31677/2072-6724-2019-50-1-171-176

13. Андреянов О.Н., Коняев С.В. Возбудители трихинеллёза в Центральном регионе России. В: Материалы Всероссийской научной конференции с международным участием «Современные проблемы паразитологии и экологии. Чтения, посвященные памяти С.С. Шульмана». Тольятти: Издательство «Анна»; 2018. С. 28–31.

14. Коняев С.В., Кривопалов А.В., Янагида Т., Накао М., Сако Я., Ито А. и др. Молекулярно-генетические исследования Trichinella spp. в России: первые результаты. В: материалы Международной научной конференции «Современные проблемы общей паразитологии». Москва: ИПЭЭ им. А.Н. Северцова РАН; 2012. С. 171–174.

15. Gómez-Morales MA, Ludovisi A, Amati M, Cherchi S, Tonanzi D, Pozoi E. Differentiation of Trichinella Species (Trichinella Spiralis/Trichinella Britovi versus Trichinella Pseudospiralis) Using Western Blot. Parasites & Vectors. 2018;11:631. https://doi.org/10.1186/s13071-018-3244-3

16. Pozio E, Zarlenga DS. New Pieces of the Trichinella Puzzle. International Journal for Parasitology. 2013;43(12–13):983–997. https://doi.org/10.1016/j.ijpara.2013.05.010

17. Pozio E. Searching for Trichinella: Not All Pigs are Created Equal. Trends in Parasitology. 2014;30(1):4–11. https://doi.org/10.1016/j.pt.2013.11.001.

18. Гаркави Б.Л. Трихинеллез, вызываемый Trichinella pseudospiralis (морфология и биология возбудителя, эпизоотология и эпидемиология, диагностика, меры борьбы и профилактика). Российский паразитологический журнал. 2007;(2):35–116.


Об авторах

А. П. Евсюков
Донской государственный технический университет;
Россия

Александр Павлович Евсюков, кандидат биологических наук, доцент кафедры биологии и общей патологии

344003, г. Ростов-на-Дону, пл. Гагарина, 1



И. О. Потапенко
Донской государственный технический университет
Россия

Игорь Олегович Потапенко, студент кафедры биологии и общей патологии

344003, г. Ростов-на-Дону, пл. Гагарина, 1



А. П. Зеленков
Донской государственный технический университет; Федеральный центр по изучению и воспроизводству охотничьих ресурсов
Россия

Алексей Петрович Зеленков, доктор сельскохозяйственных наук, профессор кафедры биологии и общей патологии; начальник отдела экспериментальных разработок

344003, г. Ростов-на-Дону, пл. Гагарина, 1

344018, г. Ростов-на-Дону, пер. Островского, 126



Г. А. Зеленкова
Донской государственный технический университет; Федеральный центр по изучению и воспроизводству охотничьих ресурсов
Россия

Галина Александровна Зеленкова, доктор сельскохозяйственных наук, профессор кафедры биологии и об-щей патологии; научный сотрудник отдела экспериментальных разработок

344003, г. Ростов-на-Дону, пл. Гагарина, 1

344018, г. Ростов-на-Дону, пер. Островского, 126



В данном исследовании впервые зарегистрирован случай трихинеллеза у барсука на территории Ростовской области. Личинки инкапсулированных трихинелл были обнаружены во всех исследованных группах мышц, с наибольшей интенсивностью в диафрагме. Морфометрический анализ показал, что капсулы имеют почти круглую форму, а их размеры не зависят от локализации в организме хозяина. Полученные индексы формы капсул были более близки к показателям T. nativa, чем T. spiralis, однако для точной видовой идентификации требуются молекулярно-генетические методы. Результаты подтверждают значимость барсука как природного резервуара трихинеллеза и подчеркивают необходимость обязательной трихинеллоскопии его мяса для профилактики заражения людей и животных. Исследование определяет изучение распространения и видового состава трихинелл как крайне актуальную задачу для ветеринарии и эпидемиологии.

Рецензия

Для цитирования:


Евсюков А.П., Потапенко И.О., Зеленков А.П., Зеленкова Г.А. Трихинеллез у барсука в Ростовской области (юг России). Ветеринарная патология. 2025;24(3):7-13. https://doi.org/10.23947/2949-4826-2025-24-3-7-13

For citation:


Evsyukov A.P., Potapenko I.O., Zelenkov A.P., Zelenkova G.A. Trichinellosis in Badgers in the Rostov Region (Southern Russia). Russian Journal of Veterinary Pathology. 2025;24(3):7-13. https://doi.org/10.23947/2949-4826-2025-24-3-7-13

Просмотров: 246


Creative Commons License
Контент доступен под лицензией Creative Commons Attribution 4.0 License.


ISSN 2949-4826 (Online)