Перейти к:
Морфологические свойства и гистогенез нодальной лимфомы у собак
https://doi.org/10.23947/2949-4826-2025-24-3-34-42
Аннотация
Введение. Одним из часто встречающихся видов онкопатологий являются лимфопролиферативные заболевания, в частности, лимфомы. Заболевания отличаются сложными механизмами развития, множеством этиологических факторов и разнообразием биологии их поведения. Кроме того, общность происхождения лимфоидных клеток делает различные типы лимфом морфологически сходными и затрудняет их диагностику. Золотым стандартом в диагностике онкологической патологии было, есть и будет морфологическое исследование. Однако для адекватной диагностики онкологических заболеваний у животных отсутствуют четкие морфологические критерии, гистологические классификации, характеризующие различные типы опухолей. Вышеизложенное диктует настоятельную необходимость в тщательном изучении различных морфологических типов лимфом и выявлении их дифференциально-диагностических признаков. Цель данного исследования — изучение морфологических признаков и гистогенеза нодальной лимфомы у собак для облегчения диагностики и разработки эффективных протоколов таргетной терапии.
Материалы и методы. Объектом исследования, проведенного на базе сети ветеринарных лабораторий «ВЕТЛАБ» (г. Москва) в период с января 2024 г. по январь 2025 г., стали лимфатические узлы собак с признаками поражения нодальной лимфомой. Все пробы (n = 30) прошли гистологическую пробоподготовку по стандартной общепринятой методике. Были получены гистологические препараты, окрашенные гематоксилином и эозином, и выполнена микроскопия. Проведена сравнительная оценка, и сопоставлены следующие морфологические критерии: форма роста опухоли, распространенность опухоли в ткани, строение опухолевых клеток, размер и расположение ядер, структура хроматина, наличие митозов, микроокружение опухолевых клеток.
Результаты исследования. Изучая особенности нодальных лимфом собак посредством микроскопии, выявили ряд существенных дифференциально-диагностических признаков, позволяющих разделять лимфомы на морфологические варианты: крупноклеточную и мелкоклеточную лимфому, иммунобластный, центробластный и лимфобластный клеточный тип. К прогностическим признакам отнесли: пролиферативный индекс, диффузную форму роста, клеточное микроокружение, васкуляризацию ткани опухоли.
Обсуждение и заключение. В ходе исследования выделили основные морфологические варианты и клеточные типы нодальных лимфом собак. Определили морфологические особенности и дифференциально-диагностические критерии для микроскопического изучения лимфом. Полученные данные могут быть использованы для морфологической верификации лимфом собак в повседневной практике патолога, а также лечь в основу гистологической классификации опухолей лимфоидной ткани у животных.
Ключевые слова
Для цитирования:
Митрохина Н.В., Сотникова Л.Ф. Морфологические свойства и гистогенез нодальной лимфомы у собак. Ветеринарная патология. 2025;24(3):34-42. https://doi.org/10.23947/2949-4826-2025-24-3-34-42
For citation:
Mitrokhina N.V., Sotnikova L.F. Morphological Features and Histogenesis of Canine Nodal Lymphoma. Russian Journal of Veterinary Pathology. 2025;24(3):34-42. https://doi.org/10.23947/2949-4826-2025-24-3-34-42
Введение. Лимфома — это часто встречающееся злокачественное новообразование гематопоэтической и лимфоидной ткани у животных и человека. Опухоль развивается в виде нодальной и экстранодальной формы, не имеет органной принадлежности, что препятствует своевременной диагностике заболевания. В медицине человека существуют классификации, в которых в результате сопоставления клинических, морфологических и иммунологических характеристик выделены многочисленные варианты Т- и В-клеточных лимфом [1–3]. Все опухоли имеют общую лимфоидную клетку-предшественницу, сходные процессы активации или ингибирования сигнальных путей, мутаций в ключевых генах, характеризуются сходными генетическими поломками и структурными аномалиями. Все это позволяет использовать новые методы молекулярной диагностики в клинических целях для стратификации больных по группам риска, разрабатывать прогностические и диагностические модели, находить новые таргетные мишени для лекарственного воздействия [4]. Общность происхождения различных типов лимфом затрудняет их морфологическую верификацию, однако алгоритм диагностики лимфомы начинается именно с морфологического изучения клеточного состава или ткани опухоли. В задачи морфологического исследования также входит поиск и изучение прогностических факторов, дифференциальной диагностики индолентных и агрессивных форм лимфомы, поскольку они склонны к гистологической трансформации. Это возникновение агрессивной лимфомы в процессе эволюции клонально связанной индолентной лимфомы [5].
В ветеринарной медицине адекватная диагностика онкологических заболеваний пациентов осложнена ввиду отсутствия четких морфологических критериев, гистологических классификаций, характеризующих различные типы опухолей. Разработка и выявление морфологических критериев, характерных для различных типов лимфом, будет способствовать не только улучшению качества дифференциальной диагностики, но и повышению результативности дальнейшего терапевтического вмешательства. Цель данной работы — представить научно-обоснованный подход к морфологической диагностике нодальной лимфомы у собак, основанный на принципе гистогенетического происхождения клеток.
Материалы и методы. Исследование проведено на базе сети ветеринарных лабораторий «ВЕТЛАБ» (г. Москва) в период с января 2024 г. по январь 2025 г. Объект исследования — 30 лимфатических узлов собак, пораженных нодальной лимфомой. Исследовали лимфатические узлы разных локализаций, выявление наиболее частых локализаций лимфомы не являлось целью исследования.
Отбор морфологического материала проводился по следующим критериям: анамнез и клинические признаки (увеличение и ограничение подвижности лимфатических узлов, кахексия, одышка); макроскопические признаки поражения лимфатического узла лимфомой (размер лимфатического узла более 2 см в диаметре, отсутствие рисунка на разрезе лимфоидной ткани, замещение лимфоидной ткани бесструктурными массами, бугристая поверхность лимфатического узла, разрывы капсулы); микроскопическое подтверждение нодальной лимфомы.
В опыт не включали лимфатические узлы с макро- и микроскопическими признаками реактивного воспаления, гиперплазии или метастатического поражения нелимфоидными опухолями. Макроскопические признаки реактивного воспаления и гиперплазии в лимфатическом узле: размер лимфатического узла до 2 см, рисунок на разрезе сохранен, поверхность лимфатического узла гладкая, капсула целостная. Макроскопические признаки поражения метастатическими опухолями: рисунок на разрезе частично сохранен, на разрезе определяется ограниченный опухолевый очаг, поверхность лимфатического узла может быть бугристой (при множественном поражении метастазами).
Для исследования выполняли продольный разрез лимфатического узла, из центра ткани отбирали пластинку диаметром до 0,5 см и направляли на исследование [6].
Гистологическая проводка выполнялась по общепринятому протоколу: спирт 96 % — 6 ч, ксилол — 3 ч, парафин — 3 ч [7, 8]. Материал заливали в парафиновый блок на автоматической заливочной станции Kedee KD-BMII (Kedee, Россия). Микротомию парафинового блока проводили на полуавтоматическом микротоме Rotary 3004 M (Kedde, Россия). Гистологические срезы выполняли толщиной 4 мкм, фиксировали на предметном стекле.
Окрашивали препараты гематоксилином и эозином по общепринятому протоколу: ксилол — 10 мин, спирт 96 % — 15 мин, гематоксилин Майера — 20 мин, соляная кислота — 10 сек, дистиллированная вода — 10 мин, раствор эозина — 10 мин [9], на автостейнере Shandon Varistain 24-4 (Leica, Германия).
Микроскопию проводили на микроскопе Microscreen («Минимед», Россия) при увеличении ×100, 200 и 400.
Оценивали: тип роста опухоли (диффузный, нодулярный и т. д.); клеточный компонент (мелкие, крупные клетки, полиморфный клеточный состав, анапластическая или бластная/бластоидная морфология клеток, наличие или отсутствие многоядерных клеточных форм, характеристика структуры ядер); наличие реактивных и резидуальных компонентов. При проведении исследования использовалось 5-е издание Классификации ВОЗ опухолей гемопоэтической и лимфоидной тканей (2022 г.).
Результаты исследования. Данные, полученные нами в ходе морфологического исследования нодальных лимфом у собак, представлены в таблице 1, из которой следует, что чаще всего выявлялся крупноклеточный вариант лимфомы. Форма роста всех опухолей — диффузная.
Таблица 1
Морфологические варианты нодальных лимфом у собак
|
Морфологический вариант нодальной лимфомы |
Количество случаев |
% |
|
мелкоклеточная |
6 |
20 |
|
крупноклеточная |
24 |
80 |
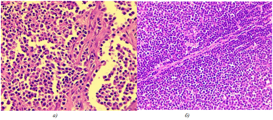
Опухоли из крупных клеток имели крупные ядра, расположенные эксцентрично. Структура хроматина глыбчатая, вследствие чего в ядрах дифференцируются нуклеолы (рис. 1). При увеличении микроскопа ×400 определялись от 5 до 10 митозов в поле зрения.
Во всех крупноклеточных нодальных лимфомах определялись тонкие фиброзные септы, составляющие строму опухоли. Можно предположить, что они являются остатками межфолликулярных перегородок лимфатического узла (рис. 1 б).
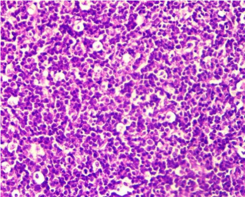
Нодальные лимфомы, состоящие из клеток мелкого размера, имели ряд особенностей: мелкие или средние ядра, расположенные эксцентрично, насыщенный ядерный гетерохроматин, слабая дифференцировка нуклеол. При увеличении микроскопа ×400 выявляли не более 5 митозов в поле зрения и содержание большого числа апоптических телец (рис. 2).
Результаты исследования по изучению гистогенетического происхождения клеток опухоли свидетельствуют о наличии трехклеточных типов: лимфобластного, иммунобластного и центробластного (таблица 2).

Рис. 1. а — нодальная лимфома из крупных клеток; б — тяж фиброзной ткани в центре опухоли. Окраска гематоксилином и эозином, ув. ×400

Рис. 2. Мелкоклеточная нодальная лимфома. Окраска гематоксилином и эозином, ув. ×400
Таблица 2
Клеточные типы нодальных лимфом у собак
|
Клеточный тип |
Количество случаев |
% |
|
Лимфобластный |
6 |
20,0 |
|
Иммунобластный |
10 |
33,3 |
|
Центробластный |
14 |
46,7 |
Из таблицы 2 следует, что наиболее часто встречается центробластный клеточный тип нодальной лимфомы. Стоит отметить, что иммунобластный и центробластный типы выявлялись у крупноклеточных вариантов лимфом.
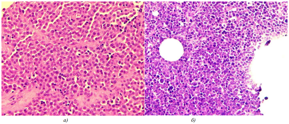
Иммунобластный клеточный тип характеризовался наличием в опухолевом инфильтрате атипичных иммунобластов — крупных клеток с округлыми неровными эксцентричными ядрами, в которых дифференцируется одна крупная нуклеола и глыбчатый петлистый рисунок хроматина. Мембрана нуклеолы неровная, часто к ней прикреплены тонкие нити хроматина. Ободок цитоплазмы у этих клеток довольно широкий и бледный (рис. 3 а).
Центробластный клеточный тип характеризовался наличием в опухолевом инфильтрате атипичных центробластных клеток, которые резко отличались от иммунобластов. Морфологические особенности центробластов: крупные округлые везикулярные ядра, везикулярный хроматин и 2–3 нуклеолы, расположенные вблизи ядерной мембраны, умеренный объем цитоплазмы (рис. 3 б).
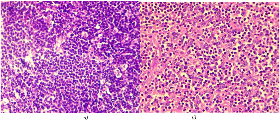
Лимфобластный клеточный тип выявлялся у мелкоклеточных опухолей и характеризовался наличием в опухолевом инфильтрате атипичных лимфобластов — клеток мелкого размера, с округлыми ядрами, содержащими компактный гетерохроматин, с недифференцируемой нуклеолой, неровной поверхностью ядерной мембраны и узким ободком цитоплазмы (рис. 4 а).

Рис. 3. а — иммунобластный клеточный тип крупноклеточной нодальной лимфомы; б — центробластный клеточный тип крупноклеточной нодальной лимфомы. Окраска гематоксилином и эозином, ув. ×400

Рис. 4. а — лимфобластный клеточный тип мелкоклеточной нодальной лимфомы; б — иммунобластный клеточный тип крупноклеточной лимфомы, выраженная инфильтрация ткани эозинофилами. Окраска гематоксилином и эозином, ув. ×400
Все опухоли, несмотря на клеточный тип, имели скудную васкуляризацию. В микроокружении присутствовали лимфоциты и плазматические клетки. Мелкоклеточные варианты опухоли были инфильтрированы макрофагами. Один случай содержал большое количество эозинофилов в микроокружении (рис. 4 б).
Обсуждение и заключение. В результате исследования патоморфологических особенностей нодальной лимфомы у собак установлено, что все они имеют диффузную форму роста. Выявляются крупноклеточный и мелкоклеточный морфологические варианты, по гистогенетическому принципу опухоли делятся на лимфобластные, центробластные и иммунобластные. Морфологическими дифференциально-диагностическими критериями являются: размер опухолевых клеток, размер ядер, структура хроматина, дифференциация нуклеол, число митозов в поле зрения и наличие апоптических телец.
По имеющимся литературным данным [10, 11], у людей наиболее часто встречается крупноклеточный вариант лимфомы, что совпадает с результатами нашего исследования у собак. Это может быть связано с преобладанием в организме крупных В-клеток, активирующихся во время антигенной стимуляции.
Анализ данных, полученных в процессе изучения клеточных типов опухоли, показывает, что наиболее часто выявлялся центробластный клеточный тип (рис. 5). Можно предположить, что это связано с тем, что в процессе антигенной стимуляции B-клетки инициируют в зародышевом центре фолликула реакцию, при которой они трансформируются в быстро пролиферирующие центробласты, а пролиферирующие клетки чаще подвергаются опухолевой трансформации [12].

Рис. 5. Результаты исследования клеточных типов нодальных лимфом у собак (n = 30)
В гуманной медицине диагностическими критериями лимфобластной лимфомы являются преобладание атипичных лимфобластов в опухолевом субстрате, наличие макрофагов в микроокружении [13–16]. Полученные нами данные у собак подтверждают информацию из этих научных источников.
Клетки центробластного клеточного типа лимфомы характеризуются крупными округлыми ядрами, содержащими несколько нуклеол вблизи ядерной мембраны, тогда как атипичные иммунобласты, составляющие клеточный субстрат иммунобластной лимфомы, имеют крупные неровные ядра, содержащие одиночную нуклеолу. Ободок цитоплазмы атипичного иммунобласта обильней, чем у центробласта. Схожие дифференциально-диагностические признаки упоминают Бабичева Л.Г. и Поддубная И.В. при описании нодальной лимфомы у человека [17].
В соответствии с используемым в гуманной медицине в настоящее время 5-м изданием Классификации ВОЗ опухолей гемопоэтической и лимфоидной тканей (2022 г.), диффузная крупноклеточная лимфома имеет 14 клинико-биологических форм [17–20]. Данные формы не изучены и не выделены у животных, поэтому результаты нашего исследования могут положить начало изучению морфологических признаков и дифференциально-диагностических критериев большего количества нозологических форм опухолей лимфоидной ткани в ветеринарной патологии. Наше исследование подтверждает гистогенетическое происхождение опухолевых клеток, что должно быть отражено в гистологической классификации.
Список литературы
1. Ковригина А.М., Пробатова Н.А. Лимфома Ходжкина и крупноклеточные лимфомы. Москва: Медицинское информационное агентство; 2007. 216 с.
2. Ursu D, Gudumac E, Bernic Ja, Tîbîrnă A, Railean S, LUPAN R., et al. Diagnostic Peculiarities of Lymphomas in the Cervical Region in Children. Bulletin of the Academy of Sciences of Moldova. Medical Sciences. 2023;76(2)36-41. https://doi.org/10.52692/1857-0011.2023.2-76.06
3. Кудачева Н.А., Беспалова Т.Ю. Клинико-морфологическая диагностика лимфом у собак. Международный научно-исследовательский журнал. 2017;(9–2(63)):14–17. https://doi.org/10.23670/IRJ.2017.63.006
4. Ковригина А.М. Имеет ли самостоятельное значение мутация в гене MYD88 l265p при диффузных В-крупноклеточных лимфомах? Гематология и трансфузиология. 2024;69(4):499–501.
5. Магомедова А.У., Ковригина А.М., Мангасарова Я.К., Кравченко С.К., Никулина Е.Е., Обухова Т.Н. и др. Трансформация лимфомы маргинальной зоны в диффузную В-крупноклеточную лимфому. Гематология и трансфузиология. 2024;69(1):112–120. https://doi.org/10.35754/0234-5730-2024-69-1-112-120
6. Юнусова Ю.Р., Плохова В.А., Шувалова Т.В., Полетаева С.В., Сухачев П.А., Кириченко Н.Д. Руководство по клинической патологической анатомии. Учебное пособие для студентов высших учебных медицинских заведений. Самара: Полиграфическое объединение «Стандарт»; 2020. 121 c.
7. Асауленко З.П., Чухрай С.М., Яковлева А.И., Алымова Е.В., Бучака А.С., Павлинов Г.Б. Влияние укороченной стандартной процедуры проводки на качество гистологических препаратов. В: Сборник тезисов Второго Российского Конгресса лабораторной гистотехнологии с международным участием «Histotechnology». Москва; 2024. С. 31–34.
8. Пешков М.В., Дыгало И.И. Метод гистологической проводки тканей с использованием изопропанола и минерального масла. Архив патологии. 2009;71(3):39–41.
9. Безруков А.В., Беланов М.Е, Борисоглебский А.А., Бухаров Г.А., Кравцов П.А., Кузнецов М.В. и др. Новое семейство автоматов окраски микропрепаратов на предметных стёклах. Поликлиника. 2023;(4(1)):28–31.
10. Каленик О.А. Результаты химиоиммунотерапии у пациентов с GCB-подтипом диффузной В-крупноклеточной неходжкинской лимфомы. Журнал Гродненского государственного медицинского университета. 2022;20(6):599–602. https://doi.org/10.25298/2221-8785-2022-20-6-599-602
11. Vadasz B, Wolniak K, Sukhanova M, Chen YH, Behdad A. Leukemic Presentation of Anaplastic Large Cell Lymphoma: A Diagnostic Challenge Mimicking T-Cell Prolymphocytic Leukemia. AJSP Reviews & Reports. 2022;27(3):119–122. https://doi.org/10.1097/pcr.0000000000000511
12. Рукавицын О.А. (ред.). Гематология: национальное руководство. 2-е издание, переработанное и дополненное. Москва: ГЭОТАР-Медиа; 2024. 916 с. https://doi.org/10.33029/9704-8188-2-GEM-2024-1-916
13. Lipartia MG, Ashurova DT, Daminova MN. Non-Hodgkin’s Lymphoma in Children. Eurasian Bulletin of Pediatrics. 2022;1(12):39–42. URL: https://goo.su/zko6XF (accessed: 01.09.2025)
14. Lipartia MG, Daminova MN. Optimization of Diagnostics of Anaplastic Large Cell Lymphoma in Children. Journal a New Day in Medicine. 2022;1(39):119–122. URL: https://newdayworldmedicine3d.com/upload_files/journal_article/65b23c7d9dee3.pdf (accessed: 01.09.2025)
15. Krylova YaV, Mikhailova NB, Lepik EE, Lepik KV, Beynarovich AV, Smirnova AG, et al. T-Cell Prolymphocytic Leukemia (T-PLL): A Clinical Case and Review of the Literature. Cellular Therapy and Transplantation. 2023;12(4):43–49. https://doi.org/10.18620/ctt-1866-8836-2023-12-4-43-49
16. Quintanilla-Martinez L, Sander B, Chan JKC, Xerri L, Ott G, Campo E, et al. Indolent Lymphomas in the Pediatric Population: Follicular Lymphoma, IRF4/MUM1+ Lymphoma, Nodal Marginal Zone Lymphoma And Chronic Lymphocytic Leukemia. Virchows Archiv. 2016;468:141–157. https://doi.org/10.1007/s00428-015-1855-z
17. Бабичева Л.Г., Поддубная И.В. Гетерогенная диффузная В-клеточная крупноклеточная лимфома: правильный диагноз как залог успешной терапии. Современная онкология. 2023;25(2):168–177. https://doi.org/10.26442/18151434.2023.2.202237
18. Игонин Ю.А., Долгов О.Ю., Хаванева О.В Лимфомы: учебное пособие. Чебоксары: Чувашский государственный университет им. И.Н. Ульянова; 2020. 104 с.
19. Криволапов Ю.А., Леенман Е.Е. Морфологическая диагностика лимфом. Санкт-Петербург: «Издательско-полиграфическая компания «КОСТА»; 2006. 208 с.
20. Барам Д.В., Асауленко З.П., Спиридонов И.Н., Криволапов Ю.А. Классификация ВОЗ опухолей гемопоэтической и лимфоидной тканей, 2022 г. (5-е издание): опухоли лимфоидной ткани. Архив патологии. 2023;85(4):24–31. https://doi.org/10.17116/patol20238504124
Об авторах
Н. В. МитрохинаРоссия
Наталья Викторовна Митрохина, кандидат ветеринарных наук, главный врач
109202, г. Москва, Бронницкий пер., д. 1
Л. Ф. Сотникова
Россия
Лариса Федоровна Сотникова, доктор ветеринарных наук, профессор, заведующая кафедрой болезней мел-ких домашних, лабораторных и экзотических животных
109029, г. Москва, ул. Талалихина, д. 33
Дополнительные файлы
В данном исследовании впервые систематизированы морфологические свойства и гистогенез подальной лимфомы у собак на основе анализа 30 случаев. Выявлены два основных морфологических варианта опухоли – крупноклеточный (80%) и мелкоклеточный (20%), а также три клеточных типа по гистогенетическому происхождению: центробластный (46,7%), иммунобластный (33,3%) и лимфобластный (20%). Все опухоли характеризовались диффузной формой роста и скудной васкуляризацией. Результаты подтверждают значимость морфологических критериев, включая размер клеток, структуру хроматина и количество митозов, для дифференциальной диагностики. Исследование устанавливает научную основу для гистологической классификации лимфом у животных и предоставляет практические инструменты для улучшения диагностики и разработки таргетной терапии в ветеринарной онкологии.
Рецензия
Для цитирования:
Митрохина Н.В., Сотникова Л.Ф. Морфологические свойства и гистогенез нодальной лимфомы у собак. Ветеринарная патология. 2025;24(3):34-42. https://doi.org/10.23947/2949-4826-2025-24-3-34-42
For citation:
Mitrokhina N.V., Sotnikova L.F. Morphological Features and Histogenesis of Canine Nodal Lymphoma. Russian Journal of Veterinary Pathology. 2025;24(3):34-42. https://doi.org/10.23947/2949-4826-2025-24-3-34-42


















