Parasitology
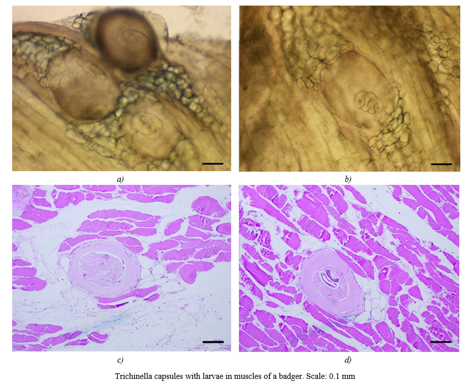
The study investigates the first case of trichinellosis in badgers reported in the Rostov region. Encapsulated Trichinella larvae were detected in all muscle groups examined, with the highest density found in the diaphragm. The morphometric analysis revealed nearly round shape of the capsules, whereas, no dependences of capsule size on location in the body of a host was found. The obtained capsule shape indices were closer to those of T. nativa than T. spiralis. However, for accurate identification of the species membership, the use of molecular genetic methods is required. The results ascertain the significant role of badgers as a natural reservoirs of trichinellosis and emphasize the need for mandatory trichinoscopy of their meat to prevent infection in humans and animals. The study deems the research on Trichinella distribution and species composition to be a highly relevant objective for veterinary medicine and epidemiology.
Introduction. Nematodes of the genus Trichinella are the causative agents of trichinellosis, which affects humans and animals and causes significant economic damage to agricultural and food industries, especially with regard to food safety. Currently, the genus Trichinella includes 10 species and 3 genotypes, which are divided into 2 clades: encapsulated and non-encapsulated. In the wildlife, a wide range of animals participate as carriers in circulation of Trichinella, and badgers are one of the main natural reservoirs for this disease. The article provides the information on detection of the first case of Trichinella larvae in a badger in the Rostov region.
Materials and Methods. The object of the study was a carcass of a badger hunted in the Sholokhov district of the Rostov region in August 2024. Detection with further study of larvae and capsules in the samples was carried out by the method of compressor trichinelloscopy. Afterwards, histological sections were made from the individual muscles, which were stained with hematoxylin and eosin according to the standard technique.
Results. Capsules of Trichinella were found in all the examined muscles of an animal. The largest number of them was found in the diaphragm and its crura. The larvae found belonged to the encapsulated ones and were located in capsules in groups or one at a time. Histological sections showed thick collagen shells of the capsules surrounded from the outside by thin membranes of connective tissue. The results of capsule morphometry showed that their size didn't differ depending on their location in the badger’s body; the shape of the capsules in all muscles was almost round.
Discussion and Conclusion. The capsule shape indices calculated based on the morphometric results are closer to the corresponding indices of T. nativa than T. spiralis, however, this does not allow us to make fully accurate conclusions about the species membership of Trichinella, since the molecular genetic studies or the use of Western blot are required for precise diagnostics. Thus, the study of Trichinella species distribution and composition remains an extremely relevant objective that requires further research both in our region and worldwide.
Animal pathology, morphology, physiology, pharmacology and toxicology
The present study for the first time establishes the anatomical and morphological characteristics and pathological changes in Burmese pythons raised in captivity. Both species were diagnosed with acute pneumonia, which in the female was caused by the bacterium Ochrobactrum anthropi, while in the male, it was the background reason of probable drowning. Morphometric analysis revealed that, despite the difference in body size, the length of the intestines, stomach and cloaca in the male and female were almost identical. The results confirm the vulnerability of the respiratory tract of pythons in captivity, and the significance of O. anthropi as an opportunistic pathogen. The study provides valuable data for veterinarians and herpetologists involved in the diagnostics and prevention of diseases in exotic reptiles.
Introduction. The Burmese python (Python Molurus Bivittatus) is the third largest snake species in the world. In the wildlife, this snake breed is most often found in the countries of South and Southeast Asia, however, in recent years, these beautiful and docile reptiles have become popular around the world as pets. Burmese pythons are kept and bred by specialists in zoos and at zoo exhibitions as well as by amateurs. For keeping at home, it is recommended to purchase a specimen born and raised in captivity and create for it conditions that imitate its natural habitat. Pythons originate from the tropical and subtropical zones, therefore, when kept at home, high air humidity should be maintained, and a water reservoir should be provided for the semi-aquatic reptiles to bathe, which is especially important for correct snake molting. Unfortunately, more and more often these exotic animals become patients of veterinary clinics or die due to various reasons. The aim of the study is to establish the anatomical and morphological characteristics of Burmese python specimens raised in captivity, as well as pathological changes in them upon death.
Materials and Methods. In 2024–2025, two corpses of Burmese python (male and female) from a private collection were delivered to “Khimera” veterinary clinic (Ussuriysk, Primorsky Territory). Cytological, bacteriological and histological studies were carried out to establish the cause of death. The studies were carried out in an artificially lighted dissection room using the method of complete autopsy during which the metric parameters of organs, as well as pathological changes in them were established.
Results. It was determined that the morphometric parameters of the body and internal organs in male and female Burmese pythons differed in size related to the age, whereas some organs were almost of the same length regardless of sex and age. It was established that death of the male python occurred due to acute pneumonia, which could become a background reason for probable drowning. The female python died from acute pneumonia caused by the bacterium Ochrobactrum anthropi.
Discussion and Conclusion. The data obtained during the study of the anatomical and morphological characteristics of the internal organs of male and female specimens of Burmese python, and pathological changes in the organs of reptiles upon death, can be used in the practical work of veterinarians and herpetologists.
The study is the first to evaluate the subchronic toxicity of a new combination insecticide-acaricide based on D-cyphenothrin, piperonyl butoxide and pyriproxyfen upon external application in egg-laying chickens. Six-fold application of the product at an increased dose of 100.0 ml/kg caused reversible changes in the red blood cell parameters and a decrease in protein metabolism intensity. A dose of 33.3 ml/kg, however, did not have a statistically significant effect on hematological or biochemical parameters. The results confirm safety for poultry of a 0.005% aqueous emulsion of the product at a dose of 33.3 ml/kg. The study establishes a wide range of safe doses for external application and provides a scientific justification for product use in poultry farming in the context of combating the ectoparasites.
Introduction. Implementation of safe and efficient insecticides-acaricides suitable for using in the presence of poultry infected with ectoparasites is particularly relevant for poultry farming specializing in egg production. The development and implementation of new medicinal products into veterinary practice is a complicated process requiring comprehensive preclinical studies. The objective of this research is to investigate the subchronic toxicity of a new D-cyphenothrin-, piperonyl butoxide-, and pyriproxyfen-based antiparasitic product and the effect of its external use on homeostasis in egg-laying chickens.
Materials and Methods. A subchronic toxicity study of the D-cyphenothrin-, piperonyl butoxide- and pyriproxyfen-based medicinal product was conducted in 2024 at Podolsk Experimental and Production Base of the All-Russian Research Institute of Fundamental and Applied Parasitology of Animals and Plants – Branch of the Federal State Budgetary Scientific Institution “Federal Scientific Center – All-Russian Research Institute of Experimental Veterinary Medicine (VIEV) of the Russian Academy of Sciences. Fifteen Hisex White chickens were divided into three groups of five birds each. Before each treatment, a 5.0% solution of the product was diluted in water at a ratio of 1:1000. A dose of 10.0 ml per 0.3 kg of body weight was assumed to be a therapeutic dose. Birds in the two experimental groups were treated in dosage of 33.3 ml/kg and 100.0 ml/kg, respectively, using a fine-mist spray pump. Chickens from the third control group were not treated. Treatment with a 0.005% aqueous emulsion of the medicinal product was carried out 6 times with an interval of 48 hours. The dynamics of changes in chicken weight, body temperature, some hematological and biochemical blood parameters was monitored, along with the features of behavior, feed and water intake.
Results. No significant changes in body weight in birds from the two experimental groups were recorded. Compared to the control group, no statistically significant changes in body temperature of chickens were revealed throughout the experiment. Six-fold application of the increased dose of the medicinal product resulted in destabilization of red blood cell parameters and decrease of protein metabolism in chickens from the second experimental group; however, these changes were reversible. Accordingly, a dose of 100.0 ml/kg can be assumed a threshold dose of no observed adverse effect level (NOAEL), and 33.3 ml/kg can be assumed a safe one of no observed effect level (NOEL).
Discussion and Conclusion. Statistically significant changes in some blood parameters in chickens were observed after six applications of a 0.005% aqueous emulsion of the new combined insecticide-acaricide at a dose of 100.0 ml/kg. However, these changes were reversible. Taking into account the threefold increase of the therapeutic dose in the experiment, the product proved to have a wide range of safe dosages for external use. Therefore, the antiparasitic treatment with the 0.005% aqueous emulsion of the combined product in dosage of 33.3 ml/kg can be ascertained safe for poultry.
In the study, the morphological features and histogenesis of canine nodal lymphoma were systematized for the first time based on the analysis of 30 cases in dogs. Two main morphological tumour variants were identified—large cell (80%) and small cell (20%) lymphomas, as well as three cell types of lymphoma were classified by histogenetic origin into: centroblastic (46.7%), immunoblastic (33.3%), and lymphoblastic (20%). All tumours were attributed with a diffuse growth pattern and poor vascularization. The results confirm the importance of such morphological criteria as cell size, chromatin structure and number of mitoses for differential diagnostics. The study establishes a scientific basis for the histological classification of lymphomas in animals and provides practical tools for improving the diagnostics and developing the targeted therapy in veterinary oncology.
Introduction. One of the most common types of oncopathologies are lymphoproliferative disorders, in particular, lymphomas. The disorders are characterised by the complicated development mechanisms, multiple etiological factors and their diverse biological features. In addition, the common origin of lymphoid cells makes different types of lymphomas morphologically similar and complicates their diagnostics. The morphological study used to be, currently is and will continue to be a gold standard in the oncological pathology diagnostics. However, the lack of clear morphological criteria and histological classifications of the various types of tumours in animals prevents from adequate diagnostics of oncological diseases in them. The above urges to conduct a thorough study of various morphological types of lymphomas to identify their differential diagnostic features. The aim of the research is to study the morphological features and histogenesis of canine nodal lymphoma to facilitate the diagnostics and develop the efficient targeted therapy protocols.
Materials and Methods. The objects of the study conducted in the network of veterinary laboratories “VETLAB” (Moscow) in the period from January 2024 to January 2025 were the lymph nodes in dogs with the signs of nodal lymphoma. All samples (n = 30) were prepared according to the standard technique of histological sample preparation. Histological preparations stained with hematoxylin and eosin were obtained, and microscopy was performed. A comparative estimation and contrasting against the following morphological criteria were carried out: tumour growth pattern, spread of tumour in the tissue, tumour cell structure, size and location of nuclei, chromatin structure, presence of mitoses, and tumour microenvironment.
Results. By studying the canine nodal lymphoma features by means of microscopy, a number of significant differential diagnostic features were identified enabling to distinguish the following morphological variants of lymphomas: large-cell and small-cell lymphomas, immunoblastic, centroblastic and lymphoblastic lymphomas. Prognostic features included: proliferative index, diffuse growth pattern, cellular microenvironment, and tumour vascularization.
Discussion and Conclusion. The study had identified the main morphological variants and cell types of canine nodal lymphomas. Morphological features and differential diagnostic criteria for microscopic study of lymphomas were determined. The obtained data can be used in the every-day practices of a pathologist for morphological verification of canine lymphomas, and also become the basis for histological classification of tumours of lymphoid tissue in animals.
Within the study, a standardized methodology for obtaining connective tissue bioequivalent from rabbits using multipotent mesenchymal stem cells (MMSCs) and 3D bioprinting was developed for the first time. The optimised protocols ensured differentiation of MMSCs into lipoblasts and fibroblasts, which were used as bioink. Tissue constructs created by extrusion bioprinting maintained cell viability, active metabolism and formation of the intercellular contacts for at least 72 hours, which was confirmed by light, confocal and transmission electron microscopy. The results demonstrate the morphofunctional activity of the bioequivalent, thus, confirm its potential for using in regenerative veterinary medicine, and as an experimental in vitro model.
Introduction. The potential of cell therapy and tissue engineering technologies in veterinary medicine is quite high. However, the use of these technologies in the Russian Federation is currently limited due to the absence of standardized protocols for cell isolation, donor selection and creation of tissue equivalents. Development of a methodology for obtaining connective tissue bioequivalent is particularly relevant for clinical veterinary medicine, as connective tissue constitutes up to the half of the body weight and ensures the normal functioning of skin, mucous membranes, and internal organs of animals. The aim of this study is to develop a methodology for obtaining connective tissue equivalent from rabbits.
Materials and Мethods. The study was conducted at Don State Technical University (DSTU) from November 13, 2023 to March 17, 2025. The objects of the study were multipotent mesenchymal stem cells (MMSCs) and fibroblasts from adult male rabbits. Enzymatic methods were used to isolate MMSCs from the greater omentum and fibroblasts from the animal skin. Stable cell lines were obtained, and their differentiation potential was studied in vitro during myogenic and lipogenic induction. Connective tissue equivalents were created using 3D extrusion bioprinting, their morphological properties were studied by means of light, confocal, and electron microscopy.
Results. Application of the sets of factors during induction ensured the adipogenic and myogenic differentiation of MMSCs. Adipogenic differentiation came along with formation of lipid droplets, while myogenic differentiation — with formation of myotubes. 3D bioprinting enabled creation of connective tissue equivalents with maintained cell viability, developing intercellular contacts, and active secretion for at least 72 hours.
Discussion and Сonclusion. A new approach to obtaining connective tissue equivalents from rabbits was developed by optimizing MMSCs isolation and differentiation techniques. The resulting constructs demonstrated morphological and functional activity, thus, confirmed their potential for using in clinical veterinary medicine for regeneration of connective tissue and for experimental studies.
Infectious diseases and animal immunology
The study represents the first preclinical trials of the improved associated vaccine against IBR, BVD, BPIV-3, and chlamydia in cattle with expanded chlamydial antigen spectrum. Adding the AMK-16 and MZ-89 chlamydia strains did not have negative impact on the development of antiviral immunity, on the contrary, it increased the production of specific antichlamydial antibodies. The protection index in mice vaccinated with the improved product was 1.3 times higher than in mice vaccinated with the standard vaccine. The results confirm that modification of vaccine composition enhances its immunogenicity without deteriorating tolerability. The study demonstrates the potential of the improved vaccine for prophylaxis of the associated respiratory and intestinal infections in cattle.
Introduction. Infectious respiratory and intestinal diseases in cattle are multifactorial diseases, which explains the associated viral or viral-bacterial etiology of the infection among productive livestock. Combating associated respiratory and intestinal infections in cattle is carried in the vast majority of countries in the world and requires efficient measures and medications. The aim of the present research is conducting the preclinical trials in white mice and rabbits of the experimental series of the “Associated inactivated emulsion vaccine against IBR, BVD, BPIV-3 and chlamydia in cattle” improved by expanding the chlamydial antigen spectrum.
Materials and Methods. The trials were conducted in the Animal Viral Disease Laboratory of the Federal Center for Toxicological, Radiation, and Biological Safety (Kazan) from February to November 2024. Two versions of the biopharmaceutical were produced: a standard associated vaccine and an experimental vaccine with the AMK-16 and MZ-89 strains added to the chlamydial antigen. White mice and rabbits served as laboratory animals. The vaccines were evaluated for sterility, safety, tolerability, antigenic activity, impact on antiviral humoral immunity and immunogenicity.
Results. Both versions of the associated vaccine had proved to be sterile, harmless, and well-tolerated by laboratory animals. Changing the chlamydial antigen composition of the associated vaccine did not have an adverse effect on the development of antiviral humoral immunity in laboratory animals. The level of specific anti-chlamydial antibodies in rabbits vaccinated with the improved vaccine was higher than in the group of rabbits vaccinated with the standard technology vaccine. The protection index in the group of white mice vaccinated with the improved vaccine was 1.3 times higher than that with the standard vaccine.
Discussion and Conclusion. Based on the data obtained, it can be concluded that the improved associated vaccine, the same as the standard one, is well tolerated by laboratory animals. Expansion of the chlamydial antigen spectrum of the “Associated vaccine against IBR, BVD, BPIV-3 and Chlamydia in cattle” by adding additional strains did not have any negative effect on the development of antiviral humoral immunity in laboratory animals, but on the contrary had stimulated the development of a humoral response to the chlamydial antigen, thus, boosting the vaccine immunogenicity by 1.3 times.

















